.jpg)
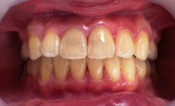
實我一直都蠻在意牙齒顏色的,平常拍照雖然會笑,但總覺得牙齒偏黃,看起來就少了一點清爽感。
後來看到不少冷光美白的案例,才開始認真考慮要不要試試看。
這次選擇到游牙醫找吳醫師諮詢,醫師先檢查牙齒狀況,確認適不適合做冷光美白,也把整個流程跟注意事項講得很清楚,讓人安心很多。
.jpg)
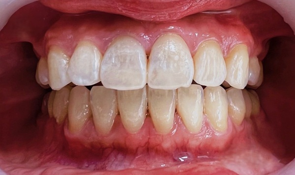
實際做完之後真的蠻有感的,牙齒整體亮了一個色階,但不是那種假白,而是很乾淨、很自然的白。
最明顯的就是笑起來整個人看起來更有精神,拍照也更敢露齒笑。
我自己覺得冷光美白最加分的地方,就是它不需要大改變,但卻能讓氣色和笑容質感提升很多。